WeCreativez WhatsApp Support
Our support team is at your disposal to answer any of your needs!
Hi, how can I help you?
SpainFrenchItaly

Clinical Cases

Immediate loading on lower incisors

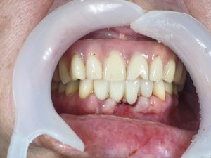
The patient, in her forties, complained of bad breath.

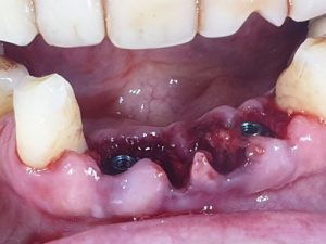
Teeth 32, 31, 41 and 42 presented with periodontitis with deep pockets and mobility, which required extractions, hence the choice of immediate loading.

In addition, tooth 21 in the upper arch was visibly worn, as was the proximal-incisal area between teeth 32 and 31, typical signs of a passionate fondness for hard foods to grind, such as sunflower seeds, roasted corn, etc…

Extraction, implant procedure and selection of the most suitable multi-unit for the case.

Assembly of the immediate load provisional bridge. Once the healing process is complete, the gums usually take the shape of the provisional bridge, if it is properly executed. Therefore, after this period, it is usually not necessary to modify anything and it is much simpler to proceed to the next step. Since immediate load was chosen, the crowns are not in occlusion, in order to reduce the pressure on the implants.

When performing immediate load and in the presence of specific dietary habits, doctors must adequately inform patients.

impianti compatibili

Products used for this case study:

0
Back to Top
SpainFrenchItaly
Product has been added to your cart

ARE YOU A HEALTHCARE PROFESSIONAL?

By clicking enter, you declare, assuming all responsibility, that you are a healthcare professional.